Breast cancer ranks as the most prevalent form of cancer diagnosed in women. Diagnosis faces several challenges, such as changes in the size, shape, and appearance of the breast, dense breast tissue, and lumps or thickening, especially if... more
The Western Ghat (Sahyadri, A mountain range along the western coast of the Indian peninsula) is a hotspot for biodiversity. The region is also subject to land use and land cover (LULC) changes. If areas are to be properly planned and... more
Skin cancer is one of the most prevalent cancers worldwide, with early diagnosis being critical for improving survival rates. Dermoscopy, a non-invasive imaging tool, is widely used for identifying pigmented skin lesions. However, its... more
Quantum-Enhanced Federated Learning for Real-Time Medical Image Analysis with Ethical AI Governance is a nascent approach combining the principles of federated learning and quantum computing to transform the medical image analysis sector... more
Introduction: Augmented Reality (AR) is revolutionizing surgical practice through improved visualization, accuracy, and training. This paper examines approaches to integrating AR and its potential future applications. Methods: Literature... more
Empfohlene Zitierung / Suggested Citation: Burri, R. (2003). Digitalisieren, disziplinieren: soziotechnische Anatomie und die Konstitution des Körpers in medizinischen Bildgebungsverfahren (TUTS Working Papers, 3-2003). Berlin: Technische... more
Effective diagnosis and therapy of brain tumors depend on their identification and classification. Using the Brain Tumor dataset, this study makes use of sophisticated transfer learning models and deep convolutional neural networks... more
Circular data, i.e., data in the form of 'natural' directions or angles are very common in a number of dierent areas such as biological, meteorological, geological, and political sciences. Clustering circular data is not an easy task due... more
We discuss the potentially misleading effect of software techniques for elaborating low-contrast images. In particular, we present the example of the stains embedded into one of the most studied archaeological objects in history, the... more
Breast cancer is one of the leading causes of cancer death in women around the world. In order to reduce the death rate, the tumors have to be detected at the early stage. CAD system are considered to be the best technique for screening.... more
Objective: The objective of this research is to automate the calculation of differential blood count in blood smear photomicrographsusing image quantization.Material and Methods: A series of image processing steps were used for the... more
Automated ventricle volume estimation (AVVE) on cardiac magnetic resonance (CMR) images is very important for clinical cardiac disease diagnosis. However, current AVVE methods ignore the error correction for the estimated volume. This... more
We proposed a novel efficient method for 3D left ventricle (LV) segmentation on echocardiography, which is important for cardiac disease diagnosis. The proposed method effectively overcame the 3D echocardiography's challenges: high... more
A holistic multitask regression approach was implemented to tackle the limitations of clinical image analysis. Standard practice requires identifying multiple anatomic structures in multiple planes from multiple anatomic regions using... more
Alzheimer's disease (AD) early diagnosis plays a pivotal role in effective intervention and patient care. With limited and noisy medical imaging datasets, GANs are utilized to generate synthetic brain images, aiding in the augmentation of... more
Motor symptoms greatly diminish the quality of life for those living with Parkinson's disease (PD), a degenerative neurological condition. An early and precise diagnosis is essential for treatment and therapy to be successful. Here, we... more
This paper presents a mass preserving image registration algorithm for lung CT images. To account for the local change in lung tissue intensity during the breathing cycle, a tissue appearance model based on the principle of preservation... more
The increased use of image-guided surgery systems during neurosurgery has brought to prominence the inaccuracies of conventional intraoperative navigation systems caused by shape changes such as those due to brain shift. We propose a... more
In this paper, we focus on joint regression and classification for Alzheimer's disease diagnosis and propose a new feature selection method by embedding the relational information inherent in the observations into a sparse multi-task... more
Contemporary healthcare techniques involve maintaining a physical record of doctor visits, prescriptions, medical findings, tests, etc. Receiving our medical reports on WhatsApp, calling our doctor, or searching for medicines online is... more
This paper presents a system to support medical diagnosis and detection of abnormal lesions by processing endoscopic images. Endoscopic images possess rich information expressed by texture. Texture information can be efficiently extracted... more
Instrument segmentation plays a vital role in 3D ultrasound (US) guided cardiac intervention. Efficient and accurate segmentation during the operation is highly desired since it can facilitate the operation, reduce the operational... more
On the analysis of the Diffusion-Weighted Magnetic Resonance Images, multi-compartment models overcome the limitations of the well-known Diffusion Tensor model for fitting in vivo brain axonal orientations at voxels with fiber crossings,... more
This paper describes an evaluation framework that allows a standardized and quantitative comparison of IVUS lumen and media segmentation algorithms. This framework has been introduced at the MICCAI 2011 Computing and Visualization for... more
Prostate cancer is the most commonly diagnosed cancer in North America and accounted for 33,000 estimated deaths in 2011 [1]. Accurate prostate segmentahal-00710948,
: CRT (Cardiac Resynchronization Therapy) LBBB (Left bundle branch block) LV (Left ventricle) RV (Right ventricle) EAM (Electroanatomical mapping) CE CMR (Contrast enhanced cardiac magnetic resonance) LAT (Local activation time) CS... more
Aiming at the security protection of remote sensing images, a robust watermarking algorithm based on SURF (Speeded Up Robust Features) feature on selective regions is proposed. The algorithm first extracts the SURF feature points of the... more
Dynamical contrast enhanced (DCE) imaging allows non invasive access to tissue micro-vascularization. It appears as a promising tool to build imaging biomarkers for diagnostic, prognosis or anti-angiogenesis treatment monitoring of... more
Dynamical contrast enhanced (DCE) imaging allows non invasive access to tissue micro-vascularization. It appears as a promising tool to build imaging biomarkers for diagnostic, prognosis or anti-angiogenesis treatment monitoring of... more
Automated left ventricular (LV) segmentation is crucial for efficient quantification of cardiac function and morphology to aid subsequent management of cardiac pathologies. In this paper, we parameterize the complete (all short axis... more
Given the enormous number of mammograms performed during last years, computerbased diagnosis of breast cancer turned into a necessity. In particular, the diagnosis of breast masses and their classification currently arouse great interest.... more
Generative Adversarial Networks are a class of artificial intelligence algorithms that consist of a generator and a discriminator trained simultaneously through adversarial training. GANs have found crucial applications in various fields,... more
Medical imaging is undeniably a very important field in the provision of effective health care. It allows for early detection, diagnosis, and treatment of different kinds of diseases. On the other hand, preparation of labeled data from... more
: CRT (Cardiac Resynchronization Therapy) LBBB (Left bundle branch block) LV (Left ventricle) RV (Right ventricle) EAM (Electroanatomical mapping) CE CMR (Contrast enhanced cardiac magnetic resonance) LAT (Local activation time) CS... more
One of the main uses of the Intravascular Ultrasound (IVUS) images is tissue classification. Some of the most important tissues are calcium, fibrotic, and lipid plaque. Usually, this task is achieved using DICOM images. Here we exposed... more
Automated segmentation of Lungs plays a crucial role in the computer-aided diagnosis of chest X-Ray (CXR) images. Developing an efficient Lung segmentation model is challenging because of difficulties such as the presence of several edges... more
Nephrolithiasis is a scientific term that refers to kidney stones and means the formation of crystal concretions in the kidney. It is considered a widespread situation that affects millions of people worldwide. Those stones can cause... more
Images of the retina acquired using optical coherence tomography (OCT) often suffer from intensity inhomogeneity problems that degrade both the quality of the images and the performance of automated algorithms utilized to measure... more
This is a PDF file of an article that has undergone enhancements after acceptance, such as the addition of a cover page and metadata, and formatting for readability, but it is not yet the definitive version of record. This version will... more
Skin cancer is a prevalent and deadly cancer, and early detection is crucial for improving treatment success. Intelligent technologies are currently being used to classify skin lesions. The fundamental goal of this experimental research... more
Multi-compartment modeling of diffusion-weighted magnetic resonance imaging measurements is necessary for accurate brain connectivity analysis. Existing methods for estimating the number and orientations of fascicles in an imaging voxel... more
Background: Obtaining accurate left ventricular (LV) endocardium segmentation requires the exclusion of the papillary muscles from the cardiac wall, which is a significant, albeit challenging, step in cardiac image analysis. Most medical... more
The arterial lumen is modeled by a spatially continuous right generalized cylinder with piece-wise constant parameters. The method is the identifies the parameters of each cylinder piece from a series of planar contours extracted along an... more
Pulmonary nodule detection, false positive reduction and segmentation represent three of the most common tasks in the computer aided analysis of chest CT images. Methods have been proposed for each task with deep learning based methods... more
Artificial intelligence (AI) is transforming the field of radiology. Among various radiologic subspecialties, thoracic imaging has seen a significant rise in demand due to the global increase in heart, vascular, lung, and thoracic... more
The purpose of this study is to raise the number of aberrant red blood cells that can be recognized via image processing. To identify the data, this study used the Random Forest Technique as a machine learning model. As a result, ten... more
With a point matching distance measure which is invariant under translation, rotation and permutation, we learn 2-D point-set objects, by clustering noisy point-set images. Unlike traditional clustering methods which use distance measures... more
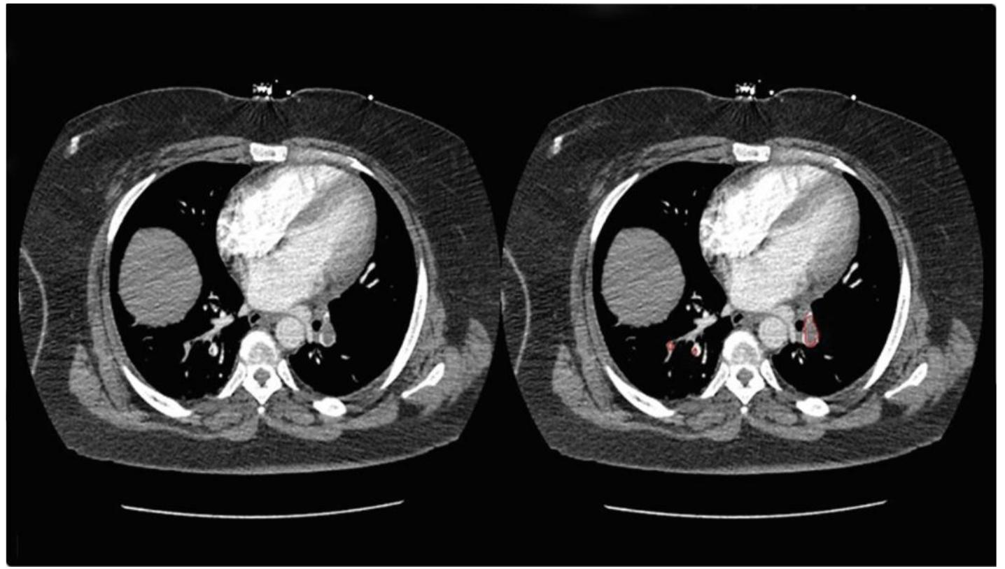
![Figure 2 « Artificial intelligence algorithm (PEAssist, TeleradTech) demonstrating bilateral pulmonary thromboembolism on th computed tomography angiogram of a patient presenting with shortness of breath in the acute setting. A number of state-of-the-art algorithms such as TeleradTech’s PEAssist [12] and Aidoc’s AI [19] solution have been of great value in emergency settings in assisting in triaging PE-positive cases for prompt treatment. Figures 1 and 2 demonstrate the results produced when using an AI TeleradTech’s PEAssist algorithm. AI has achieved a sensitivity of 80.25%, a specificity of 93.5%, and an overall accuracy of 93.3%. Figure 1 « Artificial intelligence algorithm (PEAssist, TeleradTech)- assisted analysis of computed tomography angiogram. The reference image is from healthy volunteers (true-negative case where artificial intelligence did not find pulmonary embolism).](https://figures.academia-assets.com/121472837/figure_001.jpg)

![fl 1S revoluuonizing image analysis Dy autoMating time-consuming tasks. For example, rib fractures, which can be difficult to identify on standard X-rays, can be detected using AI systems such as AI by TeleradTech (Figure 3), BoneView [34], and Rayvolve [35]. AI applications in rib fracture detection not only enhance diagnostic accuracy but also help identify subtle fractures that may indicate child abuse or severe trauma [47]. AI by TeleradTech has developed an AI algorithm that precisely identifies fracture locations and has demonstrated 91.66% sensitivity and 94.73% specificity in fracture detection (Figure 3). In a study by Oppenheimer et al., AI Gleamer BoneView© assisted in fracture detection and _ significantly increased the sensitivity for fracture detection by almost 7% (84.7 vs. 91.3%) in radiographs for resident radiologists [34]. Bettinger et al. [35] evaluated the effect of the AI tool Rayvolve on diagnosing thoracic anomalies in CXRs and reported substantial improvements in diagnostic accuracy (area under the curve [AUC] +15.94%), sensitivity (+11.44%), specificity (+2.95%), and a 35.81% reduction in reading time [35]. A systematic review and meta-analysis by Jung et al. assessed the diagnostic precision of AI in detecting fractures using different imaging modalities. AI exhibited high accuracy, with a sensitivity of 92% across all imaging types and the highest sensitivity (94%) for radiographs [48]. Bousson et al. evaluated three Figure 3 « (a) Rib fracture detection (marked by green circle) by artificial intelligence algorithm by TeleradTech. (b) The enlargec view of the rib fracture is directed by red pointer in the image. The use of AI in thoracic imaging improves patient outcomes by enabling earlier detection, facilitating faster diagnoses, and reducing diagnostic errors. For example, ChestAssist AI by TeleradTech has been employed to detect pneumonia with a sensitivity of 92%, a specificity of 77%, and pediatric pneumonia with 86% sensitivity, 87% specificity, and 86.8% accuracy, thus improving the timeliness and accuracy of pneumonia diagnoses (Figure 4) [26]. Rajpurkar et al. [25] introduced the “CheXNet” model, a 121-layer convolutional neural network designed to detect pneumonia in CXRs. CheXNet achieved performance levels comparable to expert radiologists, particularly in detecting pneumonia [25].](https://figures.academia-assets.com/121472837/figure_003.jpg)

![Figure 5 « Artificial intelligence (AI) prediction of the type of aortic dissection: (a) original image and (b) Al-annotated image showing the type of dissection as Type A with false lumen (blue margin). AI applications are also being developed to analyze imaging data in conjunction with clinical data to predict disease prognosis and patient outcomes, allowing clinicians to stratify patients based on risk and make more informed decisions about treatment strategies and closer follow-up. Various AI trials, such as the Lung Cancer Risk Assessment Tool [49], the Lung Cancer Death Risk Assessment Tool [49], and the Liverpool Lung Project (LLP) model [50], have revealed that predic- tion of risk is as crucial as clinical evaluation [51]. Katki et al. [49] developed AI models to evaluate the lung cancer risk of current or former smokers and their potential gain in life expectancy through lung cancer screening. These models considered demographic data, smoking history, and clinical factors, demonstrating robust calibration in the Prostate, Lung, Colorectal, and Ovarian Cancer Screening Trial (PLCO) and the National Lung Screening Trial (NLST). Risk-based selection was predicted to prevent 20% more fatalities (55,717; 95% CI: 53,033—58,400) while reducing the estimated number needed to 3 AI applications in aortic dissection imaging have been trained in three main categories: screening [40], image segmentation [52, 53], and outcome prediction [54]. Huang et al. studied the potential of a two-step hierarchical neural network capable of detecting aortic dissection in the first step and further classifying type A and type B aortic dissections in the second step using contrast-enhanced CT images with a slice thickness of 5 mm [52]. In addition, a deep learning algorithm has been developed by TeleradTech for aortic dissection classification and segmentation, including aortic size estimation, prioritization, and triage (Figures 5 and 6) [12].](https://figures.academia-assets.com/121472837/figure_005.jpg)

